Fakta Dan Rekomendasi -Pusat Rujukan Pelayanan Gamma Knife RSCM Jakarta

Illustration
FAKTA DAN REKOMENDASI

Fakta dari data dan rekomendasi dunia

HASIL PENCITRAAN

Simak hasil pencitraan setelah terapi Gamma Knife Radiosurgery dilakukan pada kasus kelainan di otak.
Sumber: Gamma Knife Radiosurgery, Miami Neuroscience Center di Larkin.

Studi menunjukkan tingkat kontrol tinggi dengan minimal morbiditas / penyakit:

  • Memperpanjang kelangsungan hidup.
  • Memperpanjang hidup terkait penyakit Tumor penyebaran (metastase) ke otak.
  • Dampak keracunan obat lebih sedikit (rambut rontok dan mual).
  • Memungkinkan kelanjutan dari terapi sistemik.
  • Penggunaannya tidak menghalangi XRT / WBRT.
  • Efek samping minim sehingga mengurangi kekhawatiran akan isu Neurokognitif.
Multiple Metastasis
Radiosurgery adalah tindakan ideal untuk metastasis (anak sebar tumor ganas) ke otak.

Metastasis pada otak dilokalisir dengan baik.

SEBELUM
SESUDAH
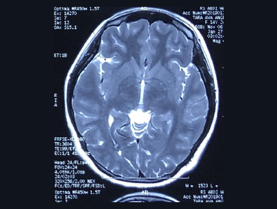
AVM (Arterivenous Malformation)
Kelainan pembuluh darah otak non-stroke
SEBELUM
SESUDAH
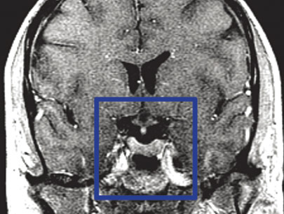
Pituitary Adenoma
Tumor kelenjar hipofisis
SEBELUM
SESUDAH
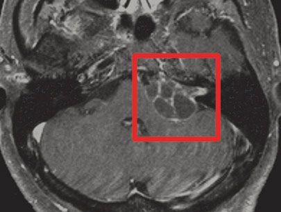
Acoustic Neuroma
Tumor jinak yang mempengaruhi saraf yang menghubungkan telinga dalam dengan otak
SEBELUM
SESUDAH
Contoh Kasus yang telah dilakukan
Gamma Knife Radiosurgery

Pusat Rujukan Pelayanan Gamma Knife

Rumah Sakit Umum Pusat Nasional Dr. Cipto Mangunkusumo

(Perempuan 22Tahun)

Diagnosis: Tumor Pineal

Sebelum Gamma Knife

  • Nyeri Kepala
  • Pandangan Ganda
  • Gangguan Gerak Bola Mata

3 bulan Setelah Gamma Knife

  • Pandangan ganda tidak ada
  • Gangguan gerak bola mata perbaikan

Catatan: pasien menjalani operasi VP Shunt
sebelum gamma knife

Volume Tumor: 25,7 cc

Volume Tumor: 3 cc

(Wanita, 48 tahun)

Diagnosis: Tumor Sphenoid Wing 1/3 Medial Curiga Meningioma

Sebelum Gamma Knife

  • Nyeri Kepala
  • Buta mata kiri (tidak bisa melihat cahaya)
  • Penonjolan mata kiri

3 bulan Setelah Gamma Knife

  • Kebutaan menetap
  • Penonjolan mata kiri berkurang

Volume Tumor: 3.45 cm3

Volume Tumor: 2.3 cm3

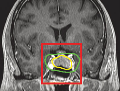
(Perempuan, 14 tahun)

Diagnosis: Malformasi Arteri-Vena Oksipital Kanan

Sebelum Gamma Knife

  • Nyeri Kepala

3 bulan Setelah Gamma Knife

  • Kebutaan menetap
  • Penonjolan mata kiri berkurang

Diameter Nidus: 1.5 cm

Nidus tidak ada

Data tindakan & sarana Gamma Knife Radiosurgery di dunia.

01

Setiap tahunnya lebih dari 70.000 pasien telah diterapi dengan Gamma Knife Radiosurgery.

02

Sejak tahun 1968-2016, lebih dari 1 juta pasien telah diterapi dengan Gamma Knife Radiosurgery.

03

Setelah Agustus 2017, 322 unit Gamma Knife Radiosurgery telah terpasang di rumah sakit di seluruh dunia. Dan sejak bulan Mei 2018 telah hadir di RSCM Jakarta.

04

Telah dipublikasikan lebih dari 3.000 peer-reviewed artikel Gamma Knife Radiosurgery.

Jaminan Akurasi

Elekta menjamin akurasi Leksell Gamma Knife - Tidak ada sistem radiosurgery lain yang dapat melakukan hal yang sama.
JENIS AKURASI DEFINISI LEKSEL GAMMA KNIFE
Akurasi Mekanik Jumlah semua toleransi mekanik akurasi < 0,3 mm
Akurasi Radiologi (1) Akurasi sistem, termasuk akurasi mekanik ditambah akurasi penyinaran rata-rata 0.15 mm
(dijamin sampai <0.50 mm)
Total Akurasi Klinis (2) Akurasi radiologi ditambah ketidakakuratan pencitraan 0.48 mm

(1) Angka tersebut berdasarkan pada 332 pengukuran pada sistem yang terpasang selama 2 tahun.
(2) Mack, Kreiner Et. Al “Jaminan mutu dalam ruang stereotaktik, sebuah sistem untuk membuktikan akurasi dari sasaran radiosurgery”.

Medical Physics 39:4, April 2002

Berdasarkan pada 170 pengukuran dalam kurun waktu 5 tahun.